14歲仔搖晃乾冰爆炸受傷!虎口炸烈見白骨險斷

發佈: 26-08-2025 17:23
文: 古曦朗

14歲仔搖晃乾冰爆炸受傷!乾冰作為一種常見的冷藏保鮮工具,在網購食品、雪糕和冷凍飲品中被廣泛應用。然而,這種看似無害的物質,若使用不當,卻可能釀成致命危機。近日,湖南一名14歲少年因把玩乾冰,結果乾冰在手中爆炸,導致他右手拇指虎口處被炸裂,傷口深可見骨,險些斷指。

14歲仔搖晃乾冰爆炸!拇指虎口炸裂見白骨

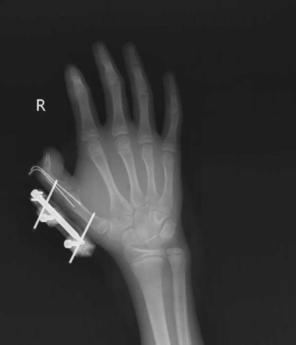
據悉,這名14歲少年維維(化名)從爸爸網購雪糕的包裹中發現了乾冰,便出於好奇,將其當成玩具拿在手裏反覆搖晃。沒想到,密封袋內的乾冰突然發生爆炸,維維的右手瞬間鮮血直流。他的拇指虎口處被撕開一道長約10厘米的傷口,深可見骨,肌肉組織斷裂外露,並伴隨拇指骨折、關節脫位,整個拇指完全失去知覺。

家人見狀立即將他送醫,醫生連夜進行清創、復位和修復手術。儘管維維的拇指最終保住了,但後續仍需進行長期的康復訓練,才能慢慢恢復手部功能。維維事後懊悔不已:「早知道乾冰這麼危險,我絕對不會去玩。」

乾冰不是普通冰 爆炸威力堪比鞭炮

湖南省人民醫院手足顯微外科主任陳建民醫生解釋,乾冰又稱固態二氧化碳,在常溫下會直接昇華成氣體,過程中體積會急劇膨脹 800至1000倍。若將乾冰放入密封容器中,隨著氣體不斷增多,容器內部壓力會急劇升高,一旦超過承受極限,便會發生爆炸。這種爆炸的威力是普通鞭炮的數倍,瞬間產生的衝擊力不容小覷。

除了爆炸風險,乾冰還潛藏以下三大危險:

 

 

  1. 凍傷: 乾冰的溫度低達-78.5℃。直接用手觸摸會瞬間帶走皮膚熱量,造成嚴重凍傷,甚至導致皮膚壞死,重則傷及肌肉和骨骼。

  2. 窒息: 乾冰昇華產生的二氧化碳氣體會導致空氣含氧量下降。若在密閉空間內大量存放或使用乾冰,短時間內可能引發缺氧窒息,危及生命。

  3. 爆炸: 不僅在密封袋中,將乾冰放入冰箱也可能引發爆炸。由於冰箱冷凍室溫度無法讓乾冰保持固態,乾冰會持續昇華,導致冰箱內部壓力過大而爆炸。

如何安全處理乾冰?

為避免意外發生,處理乾冰時務必謹記以下要點:

 

 

  • 拒絕密閉空間: 切勿將乾冰放在密封的瓶子、袋子或冰箱內。

  • 接觸必戴防護: 處理乾冰時必須戴上厚手套或使用隔熱工具,避免直接接觸。

  • 存放選通風處: 應將乾冰放置在通風良好的地方,讓其自然昇華。

  • 切勿讓孩子觸碰: 家長應將乾冰放在兒童無法觸及的地方,並明確告訴他們這不是玩具。

  • 受傷立即就醫: 若發生凍傷或炸傷,應立即尋求專業醫療協助,切勿自行處理,以免耽誤治療。

資料來源:湖南省人民醫院骨科六病區/湖南都市頻道

↓送您「麒麟一番搾 · 春季櫻花禮品套裝」🌸! ↓

唔使飛日本都感受到花見浪漫!


↓【限時搶⚡】moonwell尊貴花膠食療系列養生燉湯↓

↓正宗原條花膠筒、珍貴中藥材↓

more