男子偏頭痛腦有寄生蟲 醫生:長期食一物所致

發佈: 15-03-2024 18:09
文: 王子晴

美國一名男子因長期偏頭痛而到醫院檢查,怎料之後卻發現腦內有寄生蟲,更已在腦中產卵。事後醫生懷疑是因為病人喜歡吃煙肉,而且未有徹底煮熟所致。

同場加映:U Food【簡易廚房】最新影片!

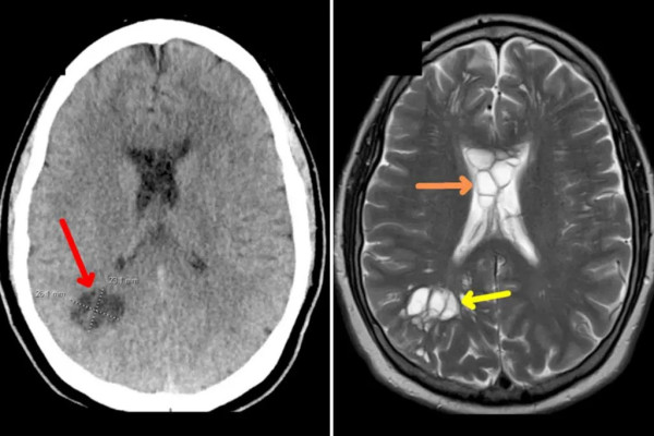
根據外媒報道,美國佛羅里達州一名52歲男子因長期出現偏頭痛而到醫院檢查經過醫生進行電腦斷層與核磁共振造影檢查後發現,男子的腦內多個腫脹的囊腫。其後經傳染病專家發現,男子的腦部遭受豬肉絛蟲寄生,甚至已經在內部產卵。

根據醫生判斷,絛蟲之所以會在腦內寄生,或是因為經常進食未有徹底煮熟的煙肉。

男子最後證實罹患寄生蟲感染神經囊蟲病,而他在服用抗寄生蟲及消炎等藥物後,病情已有所好轉。

資料及圖片來源:NYPOST

↓【限時搶⚡】桔仔水4罐裝↓

↓清爽解渴|高維生素C、水果纖維↓


↓請您飲!霸王茶姬「晚系列」470 杯😍! ↓

「輕因.伯牙絕弦」等4款茶飲任您揀~

more